»ì¸²,°Ç°­,»ýȰÁ¤º¸

Çѱ¹ÀÎÀÌ ¼­¾çÀκ¸´Ù ´ç´¢º´¿¡ Àß °É¸®´Â ÀÌÀ¯

2018-09-06 17:01:00


Çѱ¹ÀÎÀº ¼­¾çÀκ¸´Ù ½Ä»ç·®ÀÌ Àû°í ºñ¸¸µµµµ ³·Áö¸¸, ÃéÀåÀÇ Å©±â°¡ ÀÛÀº ±î´ß¿¡ ±×¸¸Å­ ÃéÀåÀÇ Àν¶¸° ºÐºñ ±â´ÉÀÌ ¶³¾îÁ® ´ç´¢º´¿¡ Àß °É¸°´Ù´Â ¿¬±¸°á°ú°¡ ³ª¿Ô´Ù.

ÀÓ¼ö ºÐ´ç¼­¿ï´ëº´¿ø ³»ºÐºñ³»°ú ±³¼öÆÀÀº ÄÄÇ»ÅÍ´ÜÃþÃÔ¿µ(CT)À» ÅëÇØ ü°ÝÀÌ À¯»çÇÑ 30´ë Çѱ¹Àΰú ¼­¾çÀÎÀ» 43¸í¾¿ À̵éÀÇ ÃéÀå ¿ëÀû µîÀ» ºñ±³ ºÐ¼®ÇØ ÀÌ·± »ç½ÇÀ» È®ÀÎÇß´Ù°í ¹àÇû´Ù.

¿¬±¸ÆÀÀº ÃéÀåÀÇ Å©±â¿Í Áö¹æ ÇÔ·®°ú ÃéÀå º£Å¸¼¼Æ÷¿¡¼­ÀÇ Àν¶¸° ºÐºñ ´É·Â, ´ç´ë»ç ´É·ÂÀÇ ¿¬°ü°ü°è¸¦ ºÐ¼®Çß´Ù.

¿¬±¸ÆÀ¿¡ µû¸£¸é Çѱ¹ÀÎÀº ¼­¾çÀκ¸´Ù ÃéÀåÀÇ Å©±â°¡ 12.3% Á¤µµ ÀÛÀº ¹Ý¸é ÃéÀå¿¡ Ä§ÂøµÈ Áö¹æÀÇ ¾çÀº 22.8% ¸¹¾Ò´Ù.

ÃéÀåÀÇ Àν¶¸° ºÐºñ ´É·ÂÀº Çѱ¹ÀÎÀÌ ¼­¾çÀκ¸´Ù 36.5% ¶³¾îÁö´Â °ÍÀ¸·Î ³ªÅ¸³µ´Ù.

¼­¾çÀΰú üÇüÀÌ ºñ½ÁÇÏ´õ¶óµµ Çѱ¹ÀÎÀÇ ÃéÀå Å©±â°¡ Àý´ëÀûÀ¸·Î ÀÛ°í, Àν¶¸° ºÐºñ ´É·Â¸¶Àú ¶³¾îÁø´Ù´Â °ÍÀÌ´Ù.

´ç´¢º´Àº Å©°Ô Àν¶¸° ÀúÇ×¼º°ú Àν¶¸°À» »ý¼ºÇÏ´Â ÃéÀå º£Å¸¼¼Æ÷ÀÇ ±â´ÉÀúÇ϶ó´Â µÎ °¡Áö ¸ÞÄ¿´ÏÁòÀ¸·Î ¹ßº´ÇÑ´Ù.

 


ÀÌ °¡¿îµ¥ º£Å¸¼¼Æ÷ÀÇ ±â´ÉÀúÇÏ´Â ÃéÀåÀÌ ¼Õ»óµÅ Àν¶¸°ÀÌ Á¦´ë·Î ºÐºñµÇÁö ¾Ê´Â »óÅ´Ù. º£Å¸¼¼Æ÷´Â ÃéÀå¿¡ ÀÖ´Â ¼Òµµ¶ó´Â ¼¼Æ÷¹«¸®¿¡ Æ÷ÇԵŠÀÖ´Ù. ¶§¹®¿¡ ÃéÀåÀÇ Àüü Å©±â°¡ Ŭ¼ö·Ï ¼ÒµµÀÇ °³¼ö°¡ ¸¹´Ù°í º¼ ¼ö ÀÖ´Ù. À̸¦ ÅëÇØ º£Å¸¼¼Æ÷¸¦ ÅëÇÑ Àν¶¸° ºÐºñ ´É·ÂÀÌ ÁÁ´Ù°í °¡´ÆÇÒ ¼ö ÀÖ´Ù.

¶Ç ÃéÀå ³»¿¡ ½×ÀÎ Áö¹æÀÌ ¸¹À¸¸é Áö¹æ¼¼Æ÷¿¡¼­ ºÐºñÇÏ´Â ¿°Áõ À¯¹ß ¹°Áú »çÀÌÅäÄ«ÀÎ, Ç÷°ü Ȱ¼ºÈ­ ¹°Áú µîÀÌ º£Å¸¼¼Æ÷¸¦ ÁÙ¿© ÃéÀåÀÇ ±â´ÉÀÌ ¶³¾îÁø´Ù´Â °ÍÀ¸·Î ¾Ë·ÁÁ® ÀÖ´Ù.

°á°úÀûÀ¸·Î Çѱ¹ÀÎÀº ¼­¾çÀκ¸´Ù ÃéÀå Å©±â°¡ ÀÛ¾Æ ÃéÀåÀÇ Àν¶¸° ºÐºñ ´É·ÂÀÌ ÀúÇϵǰí, ÀÌ¿Í ÇÔ²² ÃéÀå ³» Áö¹æÀÌ ÃéÀå ±â´ÉÀÌ ´õ¿í ¶³¾îÁ® Ç÷´ç Á¶ÀýÀÌ ¾î·Á¿öÁö¹Ç·Î ´ç´¢º´¿¡ ½±°Ô ³ëÃâµÈ´Ù´Â °ÍÀÌ ¿¬±¸ÆÀÀÇ ¼³¸íÀÌ´Ù.

ÀÓ ±³¼ö´Â ¡°20¼¼ ÀÌ»óÀÇ Çѱ¹ÀÎ 10%(400¸¸¸í Ãß»ê)°¡ ´ç´¢º´ ȯÀÚÀÎ »óȲ¿¡ ºñÃ纼 ¶§, ¼­¾çÀκ¸´Ù ½Ä»ç·®ÀÌ Àû°í ºñ¸¸µµ°¡ ³·À½¿¡µµ ºÒ±¸ÇÏ°í ±¹³» ´ç´¢º´ ȯÀÚ°¡ Áõ°¡ÇÏ´Â ¿øÀο¡ ´ëÇÑ »õ·Î¿î ±Ù°Å¸¦ Á¦½ÃÇß´Ù´Â µ¥ Àǹ̰¡ ÀÖ´Ù¡±°í Çß´Ù.

¿¬±¸°á°ú´Â ±¹Á¦ÇмúÁö ¡®´ç´¢º´, ºñ¸¸ ±×¸®°í ´ë»ç(Diabetes, Obesity and Metabolism)¡¯¿¡ ½Ç·È´Ù.


 

Å©°Ôº¸±â


 

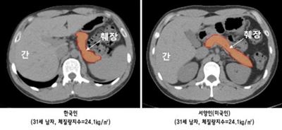
Çѱ¹Àΰú ¹Ì±¹ÀÎÀÇ ÃéÀå Å©±â ºñ±³. °°Àº ³ªÀÌ, µ¿ÀÏ Ã¼Çü¿¡¼­ ¼­¾çÀκ¸´Ù

Çѱ¹ÀÎÀÌ ÃéÀå Å©±â°¡ ÀÛ°í ÃéÀå³» Áö¹æ Ä§ÂøÀº ¸¹´Ù. ºÐ´ç¼­¿ï´ëº´¿ø Á¦°ø




Fun ÀÌÀü ÇöÀçÆäÀÌÁö3 / 16 Fun ´ÙÀ½
Fun ÀÌÀü ÇöÀçÆäÀÌÁö3 / 16 Fun ´ÙÀ½

ħ±¸¼¼Æ®,À̺Ò,¿¹´Ü

´õº¸±â
🛏 µ¿´ë¹®ÀÌºÒ ¶ó³ëºñ¾Æ, ¸ð´ÞÀ̺Ұú ¸ÂÃãħ±¸¡¦
öÀúÇÑ ¹æ¿ª &¼Òµ¶ Áؼö!! µ¿´ë¹®Á¾ÇÕ½ÃÀå Á¤»ó ¿î¿µ
½Åȥħ±¸ ¸ð´Þħ±¸¼¼Æ® ±¸ÀÔÈıâ±Û-½Åȥħ±¸
¾Æµ¿,¾î¸°ÀÌ ¿©¸§Ä§±¸¼¼Æ® ¸ÂÃã
Âø¹ø¾Æ¿ô ±Ø¼¼»ç ħ±¸¼¼Æ®
¶ó³ëºñ¾Æ 2019~2020 F/W ħ±¸¼¼Æ® ½Å»óǰ
¾Ë·¯ÁöÄɾîħ±¸¼¼Æ® ¾Ë·¹¸£¸Á ¶ó³ëºñ¾ÆÄ§±¸
°í±Þ ÇÇ±×¸ÕÆ®, ¸ð´Þ ħ±¸ ¸ðÀ½
ģȯ°æ õ¿¬ ¸ð´Þ ¿©¸§À̺Ҽ¼Æ® ÃÊÆ¯°¡ µµ¸Å ÆÇ¸Å!!
º½,¿©¸§Ä§±¸ ÀΰߵµÆ® ÇÎÅ©,¹ÙÀ̿÷¿ ¾Æ¸®¾ß ħ±¸¼¼Æ®
¶ó³ëºñ¾Æ ±¤¸ñÀÌºÒ - ģȯ°æ ¼¶À¯ ±¤¸ñħ±¸¼¼Æ®
È¥¼öÀ̺Ò,½Åȥħ±¸ ¸ð´Þħ±¸¼¼Æ®(2) - ¼¼·¹³ªÄ§±¸¼¼Æ®
È¥¼öÀ̺Ò,½Åȥħ±¸ ¸ð´Þħ±¸¼¼Æ®(1) - µðÇÁ¶õħ±¸¼¼¡¦
½ÅÈ¥Áý ħ±¸ Ãßõ(6) ±×·¹Æ® ħ±¸¼¼Æ®
½ÅÈ¥Áý ħ±¸ Ãßõ(5) ±×¶ó»þ ħ±¸¼¼Æ®
½ÅÈ¥Áý ħ±¸ Ãßõ(4) ¼¼¶óº§ ħ±¸¼¼Æ®
½ÅÈ¥Áý ħ±¸ Ãßõ(3) ¸ð´ÏÅ© ħ±¸¼¼Æ®
½ÅÈ¥Áý ħ±¸ Ãßõ(2) ·¹Æ®·Î ħ±¸¼¼Æ®
ÀÌÀü ÇöÀçÆäÀÌÁö ´ÙÀ½

¿ä,Â÷·ÆÀ̺Ò,´©ºñÀ̺Ò,ÆÐµå,Ä«ÆäÆ® ¼¼Æ®

´õº¸±â
© ¶ó³ëºñ¾Æ ¶óÀÌÇÁ ½ºÅ¸ÀÏ